Caring for Patients Who Abuse Methamphetamine

What is it?

Research aimed at mitigating the negative effects of methamphetamine use and improving patient care for those who have used methamphetamine in the past as well as those who continue to do so.

What problem does it aim to solve?

Methamphetamine is a powerful stimulant with a rapidly growing number of users. A 2010 study found that 41.3% of its users suffer from dental disease. The direct effects of methamphetamine use, as well as accompanying risk factors, significantly increase oral health risks.

How does it work?

Based on reviews of available research and current best practices, researchers have come up with a set of patient management guidelines. Recommendations encompass techniques to stabilize the mouth such as or silver diamine fluoride to prevent further damage or interim restorations using glass ionomer, as well as ideas for how to compassionately communicate with patients, especially if their methamphetamine use is ongoing.

What are the real-world implications?

Clinicians will hopefully be better prepared to provide care to methamphetamine users, and may even be able to play a crucial role in their recovery.

What are the next steps?

Methamphetamine use has many negative effects extending beyond its impact on oral health; it's a bigger problem than the oral healthcare field can solve on its own. But by providing compassionate, evidence-based care — and partnering with other professionals — dental professionals can help patients protect their mouths, and possibly help them turn their lives around.

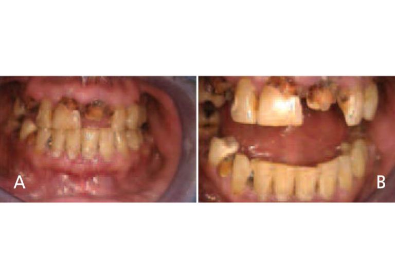
Oral manifestations in the advanced states of methamphetamine abuse include A) teeth broken off at the gingival margin; and B) grayish-brown dentition with enamel that is reduced to a soft leathery texture, along with gingivitis and acute periodontitis.

Oral manifestations in the advanced states of methamphetamine abuse include A) teeth broken off at the gingival margin; and B) grayish-brown dentition with enamel that is reduced to a soft leathery texture, along with gingivitis and acute periodontitis.

Sources

"Caring for Patients Who Abuse Methamphetamine"Dimensions of Dental Hygiene, November 2016

"Managing Cavitated Lesions in Patients Who Abuse Methamphetamine"Decisions in Dentistry, November 2016

Authors

Lola Giusti, DDS, MA, Associate Professor, the Department of Diagnostic Sciences  (formerly the Department of Dental Practice), University of the Pacific, Arthur A. Dugoni School of Dentistry

Alan W. Budenz, MS, DDS, MBA, Vice Chair of Diagnostic Sciences and Services, Professor, Biomedical Sciences and Dental Practice, University of the Pacific, Arthur A. Dugoni School of Dentistry

Swapandeep S. Mushiana, MS,  Doctoral Student, University of San Francisco

Cathrine Steinborn, DDS, Clinical Instructor, Department of Preventive and Restorative Dentistry (formerly the Department of Integrated Reconstructive Dental Sciences), University of the Pacific, Arthur A. Dugoni School of Dentistry.